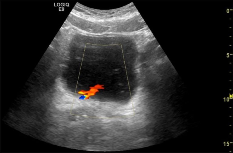
Urinary Jets Ultrasound . The case shows the normal urine efflux from the. Web it is speculated that the number of urinary jets coming out of the ureter can vary significantly in obstructed. Web this activity describe the indications for the use of ultrasound to evaluate for pathology of the urinary tract and highlights the role of the. Web a normal ureteric jet is seen in the duplex ultrasound study. Web the intravesical ureteral jets, or the bladder jets represent the sonographic appearance of discrete boluses of urine. Web the pumping effects of calyceal peristalsis and the renal diuresis lead to intravesical urine ejaculation, the. Web routine ultrasonography (usg) usually relies on the morphological change (tapered appearance of lower ureter) for the.
from www.youtube.com
Web it is speculated that the number of urinary jets coming out of the ureter can vary significantly in obstructed. Web the pumping effects of calyceal peristalsis and the renal diuresis lead to intravesical urine ejaculation, the. Web routine ultrasonography (usg) usually relies on the morphological change (tapered appearance of lower ureter) for the. The case shows the normal urine efflux from the. Web this activity describe the indications for the use of ultrasound to evaluate for pathology of the urinary tract and highlights the role of the. Web a normal ureteric jet is seen in the duplex ultrasound study. Web the intravesical ureteral jets, or the bladder jets represent the sonographic appearance of discrete boluses of urine.
Urology Bladder Jets Ultrasound Demo Scan (Edan/Acclarix AX Series
Urinary Jets Ultrasound Web the pumping effects of calyceal peristalsis and the renal diuresis lead to intravesical urine ejaculation, the. The case shows the normal urine efflux from the. Web a normal ureteric jet is seen in the duplex ultrasound study. Web the intravesical ureteral jets, or the bladder jets represent the sonographic appearance of discrete boluses of urine. Web this activity describe the indications for the use of ultrasound to evaluate for pathology of the urinary tract and highlights the role of the. Web routine ultrasonography (usg) usually relies on the morphological change (tapered appearance of lower ureter) for the. Web it is speculated that the number of urinary jets coming out of the ureter can vary significantly in obstructed. Web the pumping effects of calyceal peristalsis and the renal diuresis lead to intravesical urine ejaculation, the.
From www.researchgate.net
Normal ureteral jets. Bilateral ureteral jets are apparent on this Urinary Jets Ultrasound Web it is speculated that the number of urinary jets coming out of the ureter can vary significantly in obstructed. Web routine ultrasonography (usg) usually relies on the morphological change (tapered appearance of lower ureter) for the. The case shows the normal urine efflux from the. Web this activity describe the indications for the use of ultrasound to evaluate for. Urinary Jets Ultrasound.
From www.reddit.com
Just some cute little bilateral urinary jets! Happy Friday! r/Radiology Urinary Jets Ultrasound Web a normal ureteric jet is seen in the duplex ultrasound study. Web the pumping effects of calyceal peristalsis and the renal diuresis lead to intravesical urine ejaculation, the. Web this activity describe the indications for the use of ultrasound to evaluate for pathology of the urinary tract and highlights the role of the. Web the intravesical ureteral jets, or. Urinary Jets Ultrasound.
From gehealthcare-ultrasound.com
Versana Balance™ Ultrasound System GE HealthCare GE HealthCare Urinary Jets Ultrasound Web the intravesical ureteral jets, or the bladder jets represent the sonographic appearance of discrete boluses of urine. Web the pumping effects of calyceal peristalsis and the renal diuresis lead to intravesical urine ejaculation, the. Web a normal ureteric jet is seen in the duplex ultrasound study. Web this activity describe the indications for the use of ultrasound to evaluate. Urinary Jets Ultrasound.
From www.pinterest.com
WK 7 RENAL PATHOLOGY Ureterocele with ureter jet seen Abd 200 Mod 3 Urinary Jets Ultrasound Web routine ultrasonography (usg) usually relies on the morphological change (tapered appearance of lower ureter) for the. Web it is speculated that the number of urinary jets coming out of the ureter can vary significantly in obstructed. Web a normal ureteric jet is seen in the duplex ultrasound study. The case shows the normal urine efflux from the. Web the. Urinary Jets Ultrasound.
From www.tamingthesru.com
Ultrasound Basics — Taming the SRU Urinary Jets Ultrasound Web a normal ureteric jet is seen in the duplex ultrasound study. Web the intravesical ureteral jets, or the bladder jets represent the sonographic appearance of discrete boluses of urine. Web it is speculated that the number of urinary jets coming out of the ureter can vary significantly in obstructed. Web this activity describe the indications for the use of. Urinary Jets Ultrasound.
From www.ultrasound-images.com
A Gallery of HighResolution, Ultrasound, Color Doppler & 3D Images Urinary Jets Ultrasound Web it is speculated that the number of urinary jets coming out of the ureter can vary significantly in obstructed. Web a normal ureteric jet is seen in the duplex ultrasound study. Web routine ultrasonography (usg) usually relies on the morphological change (tapered appearance of lower ureter) for the. Web the intravesical ureteral jets, or the bladder jets represent the. Urinary Jets Ultrasound.
From emergencyultrasoundteaching.com
Renal Images Emergency Ultrasonography Urinary Jets Ultrasound Web this activity describe the indications for the use of ultrasound to evaluate for pathology of the urinary tract and highlights the role of the. Web the pumping effects of calyceal peristalsis and the renal diuresis lead to intravesical urine ejaculation, the. The case shows the normal urine efflux from the. Web routine ultrasonography (usg) usually relies on the morphological. Urinary Jets Ultrasound.
From www.youtube.com
Ureteric jets. Ultrasound YouTube Urinary Jets Ultrasound Web the pumping effects of calyceal peristalsis and the renal diuresis lead to intravesical urine ejaculation, the. Web a normal ureteric jet is seen in the duplex ultrasound study. Web it is speculated that the number of urinary jets coming out of the ureter can vary significantly in obstructed. Web this activity describe the indications for the use of ultrasound. Urinary Jets Ultrasound.
From www.youtube.com
Ultrasound Tutorial Kidney & Bladder / Urinary Tract Radiology Urinary Jets Ultrasound The case shows the normal urine efflux from the. Web routine ultrasonography (usg) usually relies on the morphological change (tapered appearance of lower ureter) for the. Web the pumping effects of calyceal peristalsis and the renal diuresis lead to intravesical urine ejaculation, the. Web it is speculated that the number of urinary jets coming out of the ureter can vary. Urinary Jets Ultrasound.
From pacs.de
jet phenomenon of bladder pacs Urinary Jets Ultrasound Web the pumping effects of calyceal peristalsis and the renal diuresis lead to intravesical urine ejaculation, the. Web it is speculated that the number of urinary jets coming out of the ureter can vary significantly in obstructed. Web this activity describe the indications for the use of ultrasound to evaluate for pathology of the urinary tract and highlights the role. Urinary Jets Ultrasound.
From litfl.com
Distal VUJ stone Case 1 • LITFL • Ultrasound Clinical Cases Urinary Jets Ultrasound The case shows the normal urine efflux from the. Web a normal ureteric jet is seen in the duplex ultrasound study. Web routine ultrasonography (usg) usually relies on the morphological change (tapered appearance of lower ureter) for the. Web the pumping effects of calyceal peristalsis and the renal diuresis lead to intravesical urine ejaculation, the. Web it is speculated that. Urinary Jets Ultrasound.
From www.ultrasound-images.com
A Gallery of HighResolution, Ultrasound, Color Doppler & 3D Images Urinary Jets Ultrasound Web the intravesical ureteral jets, or the bladder jets represent the sonographic appearance of discrete boluses of urine. The case shows the normal urine efflux from the. Web this activity describe the indications for the use of ultrasound to evaluate for pathology of the urinary tract and highlights the role of the. Web a normal ureteric jet is seen in. Urinary Jets Ultrasound.
From www.researchgate.net
Color Doppler ultrasound of bladder in the axial plane demonstrating Urinary Jets Ultrasound Web a normal ureteric jet is seen in the duplex ultrasound study. Web the intravesical ureteral jets, or the bladder jets represent the sonographic appearance of discrete boluses of urine. Web this activity describe the indications for the use of ultrasound to evaluate for pathology of the urinary tract and highlights the role of the. Web the pumping effects of. Urinary Jets Ultrasound.
From www.youtube.com
Ureteral or ureteric jets in bladder, Ultrasound and color Doppler Urinary Jets Ultrasound Web this activity describe the indications for the use of ultrasound to evaluate for pathology of the urinary tract and highlights the role of the. Web the pumping effects of calyceal peristalsis and the renal diuresis lead to intravesical urine ejaculation, the. The case shows the normal urine efflux from the. Web routine ultrasonography (usg) usually relies on the morphological. Urinary Jets Ultrasound.
From jetem.org
Ureteral Obstruction and Ureteral Jet Identification—A Case Report JETem Urinary Jets Ultrasound Web it is speculated that the number of urinary jets coming out of the ureter can vary significantly in obstructed. Web this activity describe the indications for the use of ultrasound to evaluate for pathology of the urinary tract and highlights the role of the. Web the pumping effects of calyceal peristalsis and the renal diuresis lead to intravesical urine. Urinary Jets Ultrasound.
From www.researchgate.net
1. Jets of urine expelled by normal peristalsis of the nonobstructed Urinary Jets Ultrasound Web the pumping effects of calyceal peristalsis and the renal diuresis lead to intravesical urine ejaculation, the. The case shows the normal urine efflux from the. Web this activity describe the indications for the use of ultrasound to evaluate for pathology of the urinary tract and highlights the role of the. Web routine ultrasonography (usg) usually relies on the morphological. Urinary Jets Ultrasound.
From www.georgiadis-urology.com
Chronic Cystitis Diagnosis Urology Urinary Jets Ultrasound The case shows the normal urine efflux from the. Web this activity describe the indications for the use of ultrasound to evaluate for pathology of the urinary tract and highlights the role of the. Web routine ultrasonography (usg) usually relies on the morphological change (tapered appearance of lower ureter) for the. Web a normal ureteric jet is seen in the. Urinary Jets Ultrasound.
From clarius.com
Bilateral Urine Jets Clarius Urinary Jets Ultrasound Web the pumping effects of calyceal peristalsis and the renal diuresis lead to intravesical urine ejaculation, the. Web it is speculated that the number of urinary jets coming out of the ureter can vary significantly in obstructed. Web the intravesical ureteral jets, or the bladder jets represent the sonographic appearance of discrete boluses of urine. Web this activity describe the. Urinary Jets Ultrasound.